• ESPCI Logo ESPCI web site
  • Intranet
  • Home
News and events | Physics for Medicine Paris
  • About us
  • Research
  • Technology transfer
  • News & Job offers
  • Publications
  • Our team

News and events

Home \
  • News
  • Events
  • Job offers

News

As we close this chapter, we’re proud to share our remarkable achievements, advancing from fundamental research to clinical translation.
Dec 29, 2025
2025: a year of breakthroughs at the intersection of physics and medicine
In the last days, Clément Papadacci was featured across major French press, TV and radio, where he discussed our team’s latest scientific advances and their potential impact on healthcare.
Nov 4, 2025
Media highlights: bringing research to headlines
For the first time, whole-organ blood flow dynamics can be mapped at micrometric resolution using an ultrasound multi-lens probe — demonstrated in vivo in the heart, kidney, and liver.
Oct 28, 2025
Major breakthrough in medical imaging just published in Nature Communications
A new consensus paper co-authored by Jean-François Aubry and David Attali has been recently published in Brain Stimulation: “ITRUSST Consensus on Biophysical Safety for Transcranial Ultrasound Stimulation”
Oct 24, 2025
Toward global safety standards for transcranial ultrasound stimulation: new publication in Brain Stimulation
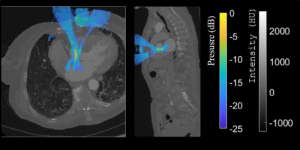
Our study in collaboration between Cardiawave and researchers from Physics for Medicine Paris presents a 3D numerical model of ultrasonic propagation through the ribcage, designed for applications in non-invasive cardiac ultrasound therapy.
Oct 21, 2025
Numerical modeling for cardiac ultrasound therapy: new paper in IEEE Transactions on Biomedical Engineering
Nicolas Zucker was recently interviewed by Guillaume Erner on Les chantiers de la recherche to present his work on functional ultrasound localization microscopy (fULM).
Sep 8, 2025
From the lab to the airwaves: listen to Nicolas Zucker’s interview on France Culture
How can we see the human brain through the skull?
A new perspective in Nature Biomedical Engineering reviews the complexity of imaging the brain with ultrasound and optical waves.
Aug 20, 2025
Imaging the brain through the skull: a comprehensive review
Functional Ultrasound Localisation Microscopy provides unique and non invasive information about local hemodynamics in cerebral microvessels for
Jul 30, 2025
Non-invasive characterization of pericyte dysfunction in mouse brain using functional ultrasound localization microscopy: a major advance for diagnosing vascular and neurovascular alterations
This year’s edition brought together 111 participants from diverse backgrounds—including physicists, neuroscientists, biologists and clinicians—to share their expertise and latest findings in the field.
Jul 4, 2025
fUSbrain days 2025: a growing community advancing Functional Brain Imaging
We are proud to announce that Mickael Tanter has officially joined the French Academy of Sciences, one of the highest honors in the French scientific community.
Jun 6, 2025
Mickael Tanter inducted into the French Academy of Sciences: a landmark recognition for a pioneer in ultrasound imaging
We are delighted to share that our recent study on remote activation of cell signaling using ultrasound has been featured on the cover of the May 2025 issue of Nature Biomedical Engineering.
May 15, 2025
Remote activation of cell signaling using ultrasound featured on the cover of Nature Biomedical Engineering
A new study published in Brain Stimulation reveals promising results for treating drug-resistant depression using ultrasound.
May 5, 2025
A new approach to treat severe depression using focused ultrasound
Our recent publication in Nature Biomedical Engineering reports the ability of ultrasound to activate oncogene receptor RET.
Jan 13, 2025
Ultrasound biological modulation for regenerative medicine
We are proud to announce that Mickael Tanter has been elected at the French Academy of Sciences in the section
Dec 17, 2024
Mickael Tanter enters the French Academy of Sciences
Watch the result of our art&science collaboration with Vaskange, an illustrator who shares our passion for multi-scale visualization.
Nov 15, 2024
Science, art and infinite zoom
We are proud to announce our new ERC awardee Béatrice Berthon-Walker for a project on breast cancer diagnosis.
Sep 5, 2024
Béatrice Berthon-Walker obtains an ERC Starting Grant
The 2024 William Feindel Lecture awarded to Mickael Tanter in Montreal, Canada
Jun 17, 2024
The 2024 William Feindel Lecture awarded to Mickael Tanter in Montreal, Canada
La Recherche is a French popular science magazine. This month's issue features our study on arterial pressure measurement.
Apr 3, 2024
Mickael Tanter and Jérôme Baranger explain the Korotkoff sounds in La Recherche
Nicolas Zucker was awarded for his work on functional ultrasound localization microscopy of the mouse brain.
Apr 2, 2024
Our PhD student Nicolas Zucker receives a Poster Award at EMIM 2024
Their invention, an innovative technology for repairing aortic valves using ultrasonic shock waves was developed in France by Cardiawave a spin-off company of our Institute.
Mar 13, 2024
M. Tanter, M. Pernot and E. Messas awarded 2024 inventors prize of Le Point newspaper
Our research team reports for the first time the clinical effectiveness of a non-invasive ultrasound therapy of cardiac valves in collaboration with Cardiawave and APHP.
Nov 28, 2023
World premiere of non-invasive ultrasound therapy of heart valve diseases published in The Lancet
In an article published in front page of Science Advances, our researchers decrypt the origin of the
Oct 5, 2023
Korotkoff sounds: a century-old enigma of physics is finally solved
Our PhD student receives the Best Student Award in Medical Ultrasonics at IEEE IUS for his work on wearable sensors.
Sep 29, 2023
Cyprien Blanquart wins the Best Student Award at IEEE IUS 2023
The research work recently published in Nature Nanotechnology by our team in collaboration with Institute of Vision Paris was highlighted in the french newspaper Le Monde on June 23rd 2023.
Jun 26, 2023
Le Monde journal highlights our research works on sonogenetics
Collaborative work between Institute Physics for Medicine and Institute of Vision leads to remote and high resolution brain activation using Sonogenetics
Apr 3, 2023
Publication in Nature Nanotechnology towards restoring vision using ultrasound Sonogenetics
Jean-Noël Barrot, french Minister Delegate for digital transition announced Cardiawave as one of the startups selected in French Tech Health20.
Mar 30, 2023
Spotlight on CardiaWave as one of the startups selected in the French Tech Health20 program
On February 15, our new facilities were inaugurated at PariSanté Campus by the french minister of higher education and research, Sylvie Retailleau.
Mar 29, 2023
Inauguration of Physics for Medicine Institute by the french Minister of Higher Education and Research 
Noemi Renaudin receives a
Oct 16, 2022
Noemi Renaudin is awarded by the Fondation L’Oréal-Unesco for Women in Science
A major achievement for micron-scale ultrasound neuroimaging has just been published in front page of Nature Methods.
Aug 4, 2022
Functional ultrasound microscopy: sensing the whole brain neuronal activity at the micron scale
Our PhD student Thomas Tiennot was awarded at i-PhD contest.
Jul 5, 2022
Thomas Tiennot receives the jury’s Grand Prix at i-PhD contest for his project on ultrasonic treatment of drug-resistant depression
M. Tanter will join the California Institute of Technology as the Gordon Moore Scholar in June 2022
May 27, 2022
M. Tanter is the 2022 researcher selected by Caltech, USA, for its prestigious Moore Distinguished Scholar Program
Transcranial 3D ultrasound localization microscopy captures the whole-brain microvasculature of a mouse.
May 13, 2022
3D ultrasound microscopy of the brain on the front cover of eBioMedicine
The coronary microcirculation was imaged in the beating heart using 3D ultrafast ultrasound localization microscopy.
Apr 15, 2022
The heart microcirculation captured in 3D using ultrasound microscopy
Our images of the human brain microvasculature are displayed in Cell Immersion exhibition (Bordeaux, France).
Apr 1, 2022
Art & Science: ultrasound microscopy images featured in Cell Worlds project
PariSanté Campus, a French hub for digital health, has settled in new premises located in Issy-les-Moulineaux.
Dec 17, 2021
Inauguration of PariSanté Campus
Mathieu Pernot received the 2021 Innovator Prize from the region Ile-de-France for the development of a device measuring the myocardial stiffness.
Sep 29, 2021
Mathieu Pernot awarded an Innovator Prize by the region Ile-de-France
Our PhD student receives the 2021 Best Student Award at the International Ultrasonics Symposium for his work on myocardial stiffness quantification.
Sep 20, 2021
Olivier Pedreira wins the Best Student Award at IEEE IUS 2021
Ultrasound neuroimaging was highlighted at the front page of three journals for three consecutive months.
May 7, 2021
Three cover pages for ultrasound neuroimaging
The co-inventors of Shear Wave Elastography are amongst the three finalists of the
May 4, 2021
Mickael Tanter and Mathias Fink named finalists for the European Inventor Award 2021
This month's issue of Pain journal spotlights our study of pain mechanisms through ultrafast ultrasound imaging of the spinal cord.
Apr 1, 2021
Ultrafast ultrasound imaging of the spinal cord in front page of Pain journal
Our collaborative work with the teams of Prof. Shapiro and Andersen at Caltech has just been published in Neuron.
Mar 23, 2021
Functional ultrasound as a read-out for brain-machine interfaces
The first dynamic microangiography of the human brain is published in front page of Nature Biomedical Engineering.
Mar 15, 2021
Ultrasound reveals the human brain vasculature down to the microscopic scale
Our latest study on neonatal functional brain imaging is published in Nature Communications.
Feb 17, 2021
Functional ultrasound imaging reveals the dynamics of brain states in preterm babies
Results of our first-in-man study have been pusblished in Circulation.
Jan 27, 2021
Treating aortic valve stenosis non-invasively: the first-in-man study
Our PhD student has been awarded at the online event
Dec 15, 2020
Oscar Demeulenaere receives an award from the European Association of Cardiovascular Imaging.
Our lab will play an active role in Paris Santé Campus, a large project for digital health.
Dec 11, 2020
French President E. Macron launches Paris Santé Campus
Our latest publication on functional ultrasound imaging has just been released in Nature Communications.
Dec 3, 2020
How does the brain activity change during repetitive behaviours?
Our ongoing research on the brain is summarized for the general audience in an article published this week.
Nov 25, 2020
The latest news on ultrasound for neurosciences featured in The Conversation
A video explaining how ultrasound can help studying autism is now online!
Nov 3, 2020
Functional ultrasound imaging and autism
Hanna Bendjador has received a prize from the L'Oréal Foundation-UNESCO program For Women In Science.
Oct 1, 2020
Hanna Bendjador awarded the 2020 French Rising Talent Prize “For Women in Science”
Pharmaceutical application of functional ultrasound is demonstrated in three recent publications and an awarded poster
Sep 18, 2020
Pharmaco-fUS: How Ultrasound could foster drug discovery in neuroscience
Charlie Demené was awarded for his presentation at EMIM on transcranial ULM in adult patients
Sep 16, 2020
Transcranial super-localization imaging of the adult brain in the Best Of EMIM Talks 2020
Our PhD student awarded at the 2020 International Ultrasonics Symposium.
Sep 15, 2020
Hanna Bendjador wins the Best Student Award at IEEE IUS, Las Vegas, 2020
3D ultrafast echocardiography is in the news with a new publication and a conference highlight.
Sep 8, 2020
3D ultrafast echocardiography: full characterization of cardiac functions within a heartbeat
Our recent publication in Physics in Medicine and Biology reports the first implementation in 3D of ultrafast Doppler for coronary flows imaging.
Jun 29, 2020
Ultrasound angiography of coronaries goes 3D
Three articles on fUS imaging were published only a few days apart in high-impact journals.
Jun 26, 2020
New advances in functional ultrasound imaging for neuroscience
C. Papadacci has been awarded at EuroEcho 2019 for his work on 4D ultrafast echocardiography.
Dec 10, 2019
Clément Papadacci awarded at EuroEcho conference
This prestigious distinction recognizes years of research, led by J.F. Aubry, aiming at developing ultrasound-based therapies
Dec 5, 2019
Our lab designated Center of Excellence by the Focused Ultrasound Foundation
Charlotte Constans and Guillaume Maimbourg, have been awarded the Prix de la Chancellerie des Universités de Paris for their thesis on therapeutic ultrasound.
Dec 3, 2019
Two PhD graduates awarded the prestigious “Prix de la Chancellerie des Universités de Paris”
Our researchers have won the Rotblat Medal of the journal Physics in Medicine & Biology
Nov 18, 2019
3D ultrafast ultrasound is the most cited paper in PMB over the past 5 years
Ultrasound-based therapy of aortic stenosis has been performed for the first time in patients.
Nov 5, 2019
Non-invasive therapy of aortic stenosis: a successful first clinical trial
Our PhD student Baptiste Heiles has won the third Visualising Physical Acoustics Research Picture Prize of the International Ultrasound Symposium.
Oct 25, 2019
Baptiste Heiles wins a Research Picture Award at IEEE IUS
Our results on 4D functional ultrasound imaging using matrix arrays have just been published in Nature Methods.
Sep 23, 2019
New publication in Nature Methods on 4D functional ultrasound imaging
In an interview given to La Recherche, Mickael Tanter showcases functional ultrasound imaging.
Sep 2, 2019
Mickael Tanter interviewed in the French magazine La Recherche
Our work has been highlighted in JACC Cardiovascular Imaging as a significant advance for precision cardiac imaging.
Jun 19, 2019
The New Wave of Cardiovascular Biomechanics
In this guide, researchers share their views on how to address the health challenges associated with increased longevity.
Jun 19, 2019
Mickael Tanter featured in AXA Research Guide
Best Poster Award at a Brain Conference organized by the FENS
Jun 19, 2019
Best Poster Award at a Brain Conference organized by the FENS
Our researchers, together with the University of Oxford and the Institut du Cerveau et la Moelle Epinière, have demonstrated the potential of focused ultrasound for therapeutic modulation of the neural activity.
Apr 16, 2019
Healing neurological disorders with ultrasound
Brain activation has been imaged and analyzed during complex cognitive tasks using functional ultrasound imaging. The study has just been published in Nature Communications.
Mar 28, 2019
New publication in Nature Communications
The fUS imaging technique, pioneered by our team, is highlighted in the french magazine Le Point.
Mar 20, 2019
Article on fUS imaging in the weekly french Magazine Le Point
Spotlight of Trends in Neurosciences for our recent Nature Comm. publication on sleep
Mar 12, 2019
Spotlight of Trends in Neurosciences for our recent Nature Comm. publication on sleep
The power of ultrasound: a video footage made in our lab by Sciences et Avenir
Mar 12, 2019
The power of ultrasound: a video footage made in our lab by Sciences et Avenir
A new research project for the management of heart failure
Feb 14, 2019
A new research project for the management of heart failure
Mickael Tanter has been elected as a fellow of the European Academy of Sciences
Jan 9, 2019
Mickael Tanter enters the European Academy of Sciences
Our latest publication in Nature Communication
Jan 2, 2019
Our latest publication in Nature Communication
The Foundation Bettencourt-Schueller supports biomedical ultrasound research
Jan 2, 2019
The Foundation Bettencourt-Schueller supports biomedical ultrasound research
Best Student Paper Award at the 2018 IEEE
Jan 2, 2019
Best Student Paper Award at the 2018 IEEE
Dec 18, 2018
fUS imaging becomes compatible with hybrid PET/CT/fUS Imaging
A total of 16 Abstracts on fUS imaging technology invented by our lab Physics for Medicine Paris will be presented at SfN meeting in San Diego.
Oct 30, 2018
Wide representation at SfN symposium in San Diego, November 2018
Mar 30, 2018
Functional ultrasound imaging of babies makes the cover of Science Translational Medicine
Creation of Iconeus startup company to widely spread fUS imaging modality
Mar 30, 2018
Creation of Iconeus startup company to widely spread fUS imaging modality

Events

fUSbrain2026_banner
fUSbrain returns in Corsica in 2026 for an entire week of lectures on functional ultrasound neuroimaging
fUSbrain2025_banner_01
Past event: fUSbrain #DAYS 2025, a workshop dedicated to functional ultrasound imaging of the brain in Paris

Job offers

Job offer
Mar 2, 2026
PhD Position – Vascular Imaging of the Uterus
Internship - Design and testing of hydrogel prototypes for improved skin-probe coupling in ultrasound imaging
Feb 24, 2026
Internship – Design and testing of hydrogel prototypes for improved skin-probe coupling in ultrasound imaging
Stage - Algorithme haute performance de reconstruction pour l’échographie 3D ultrarapide
Jan 30, 2026
Stage – Algorithme haute performance de reconstruction pour l’échographie 3D ultrarapide
Job offer
Oct 7, 2025
Research Internship : Realistic vascular and structural neonatal head phantom to improve the optimization of neonatal functional ultrasound probes
Job offer
Oct 3, 2025
Research internship – Design of optimal wearable ultrasound probe for neonatal functional ultrasound imaging using an in silico realistic brain phantom
Job offer
Oct 3, 2025
Research Internship – Simulation of ultrasound propagation in the human cochlea for neuromodulation of ganglionar cells in hearing restoration
Job offer
Oct 2, 2025
Research Internship – Characterization of uterine contractility in a clinical cohort of endometriosis patients
Job offer
Sep 11, 2025
Postdoctoral position – Toward Ultrasensitive 3D Ultrasound Localization Microscopy for Whole-Organ and Clinical Translation
Job offer
Sep 11, 2025
Postdoctoral position – Cardiovascular imaging
Job offer
Sep 11, 2025
Postdoctoral position – Ultrasound neurostimulation system development
TOP
Institute Physics for Medicine Paris
Inserm U1273, ESPCI Paris, PSL University, CNRS UMR 8063
2-10 rue d'Oradour-sur-Glane, 75015 Paris, France
webmaster-physmed@espci.fr
  • About us
  • Research
  • Technology transfer
  • News & Job offers
  • Publications
  • Our team